14-letni Michał walczy z agresywnym nowotworem. Rodzina prosi o wsparcie
Zdjęcie: 14-letni Michał walczy z agresywnym nowotworem. Rodzina prosi o wsparcie
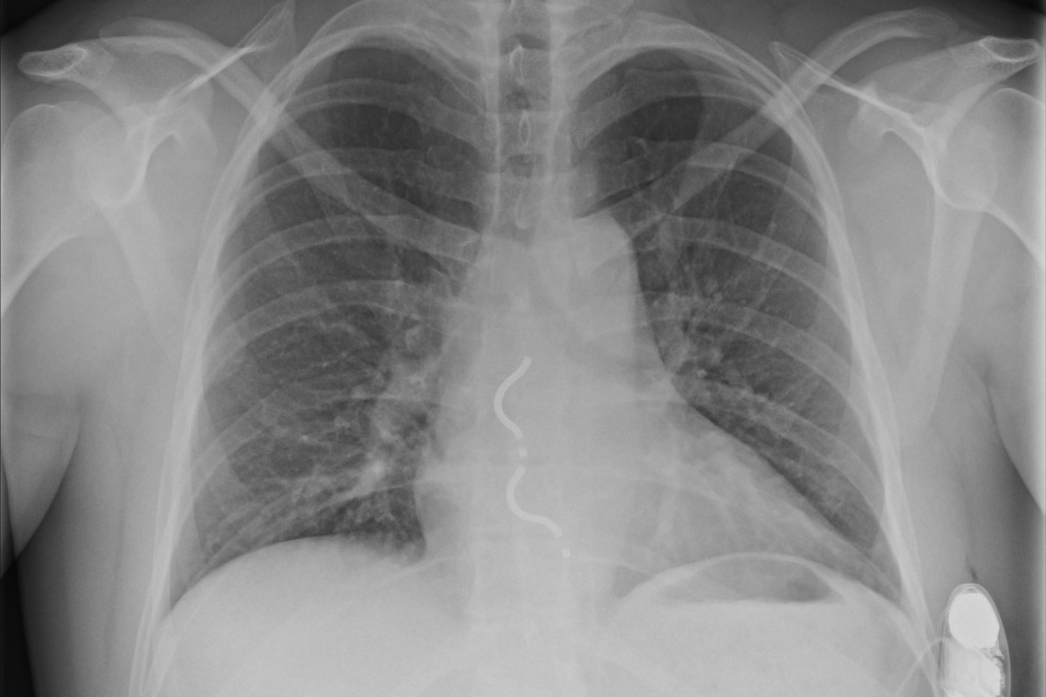
Michał Staruń ma 14 lat i jeszcze do niedawna prowadził zwyczajne życie nastolatka. Chodził do szkoły, spotykał się z kolegami, snuł plany na przyszłość. Pod koniec 2025 roku wszystko to nagle się skończyło.

3 godzin temu












